牙齿问题可真是让人头疼的小麻烦啊!不管是牙疼得让人无法入睡,还是牙齿不齐影响美观,又或者是牙齿松动需要修复,这些问题都让人忍不住想要找到一个解决之道。今天,就让我带你走进一个神奇的世界——成人牙齿治疗视频大全,让你从多个角度了解牙齿治疗的奥秘!

你知道吗?现在互联网上有很多关于成人牙齿治疗的视频,它们就像一本本生动的教科书,让你在家就能轻松学习牙齿治疗的方方面面。这些视频涵盖了从日常口腔护理到复杂牙齿修复的全过程,简直就是一个牙齿治疗的“百科全书”。

在牙齿治疗的大军中,日常口腔护理可是基础中的基础。来看看这些视频,它们会教你如何正确刷牙、使用牙线,甚至如何挑选适合自己的牙膏和牙刷。别小看了这些看似简单的动作,它们可是预防牙齿问题的关键哦!
- 刷牙的正确姿势:视频会详细讲解如何保持正确的刷牙姿势,避免因为刷牙不当而损伤牙齿和牙龈。
- 牙线的使用技巧:牙线是清洁牙缝的神器,但很多人不知道如何正确使用。视频会手把手教你如何轻松地清洁牙缝,预防牙菌斑的形成。
- 牙膏和牙刷的选择:市面上牙膏和牙刷种类繁多,如何挑选适合自己的产品?视频会为你提供专业的建议。

当牙齿出现问题,比如蛀牙、牙齿松动等,就需要进行修复了。这一篇视频会带你了解各种牙齿修复的方法,让你对牙齿修复有一个全面的认识。
- 补牙:补牙是治疗蛀牙的常见方法。视频会介绍补牙的原理、过程以及注意事项。
- 烤瓷牙:烤瓷牙是一种常见的牙齿修复方式,视频会详细讲解烤瓷牙的制作过程、优缺点以及适用人群。
- 种植牙:对于牙齿缺失的人来说,种植牙是一个不错的选择。视频会介绍种植牙的原理、过程以及术后护理。
牙齿美白是很多人关心的问题,尤其是那些因为长期吸烟、喝茶等原因导致牙齿变黄的人。这一篇视频会教你如何通过日常护理和专业的治疗方法来美白牙齿。
- 日常护理:视频会介绍如何通过正确的刷牙、使用美白牙膏等方法来保持牙齿的白皙。
- 专业美白:对于牙齿颜色较深的人,可能需要通过专业的美白方法来改善。视频会介绍激光美白、冷光美白等方法的原理和效果。
- 美白误区:视频还会纠正一些关于牙齿美白的小误区,让你远离美白陷阱。
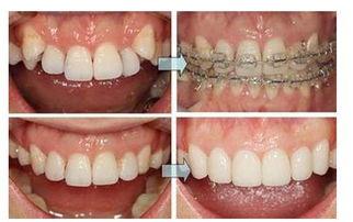
牙齿不齐不仅影响美观,还可能影响口腔健康。这一篇视频会带你了解牙齿正畸的方法和过程。
- 传统正畸:传统正畸是通过佩戴金属牙套来矫正牙齿。视频会介绍传统正畸的原理、过程以及注意事项。
- 隐形正畸:隐形正畸是一种新兴的牙齿矫正方法,它通过佩戴透明的矫正器来矫正牙齿。视频会介绍隐形正畸的原理、过程以及适用人群。
- 正畸误区:视频还会纠正一些关于牙齿正畸的误区,让你对正畸有一个正确的认识。
通过这些视频,你不仅可以学到很多实用的牙齿治疗知识,还能了解到最新的牙齿治疗技术和方法。当然,牙齿治疗是一个复杂的过程,如果你有任何疑问,最好还是咨询专业的牙医。毕竟,拥有一口健康的牙齿,才能让你笑得更自信、更灿烂!
本文由admin于2026-04-09发表在一级做a爱无码,如有疑问,请联系我们。
本文链接:https://laohtc.com/post/751.html